Braces
Braces made in the USA!
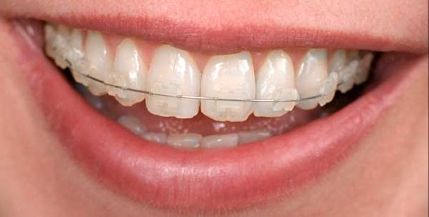
Traditional braces are a great option for many patients. Whether you choose the familiar silver braces, more subtle champagne-colored braces, or even clear braces, you can be confident knowing that we use the best materials—all made here in the USA!
![]()

