Skip to main content
Dental Crowns and Bridges
A healthy, beautiful smile starts here

Dental Crowns and Bridges | Dentist
Improve your smile today – call to schedule a consultation!
Claim Now!

Dental Crowns and Bridges

Dental Crowns

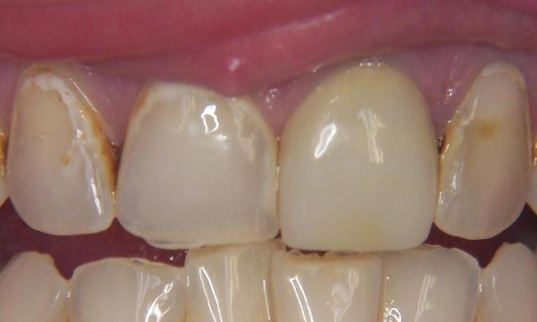
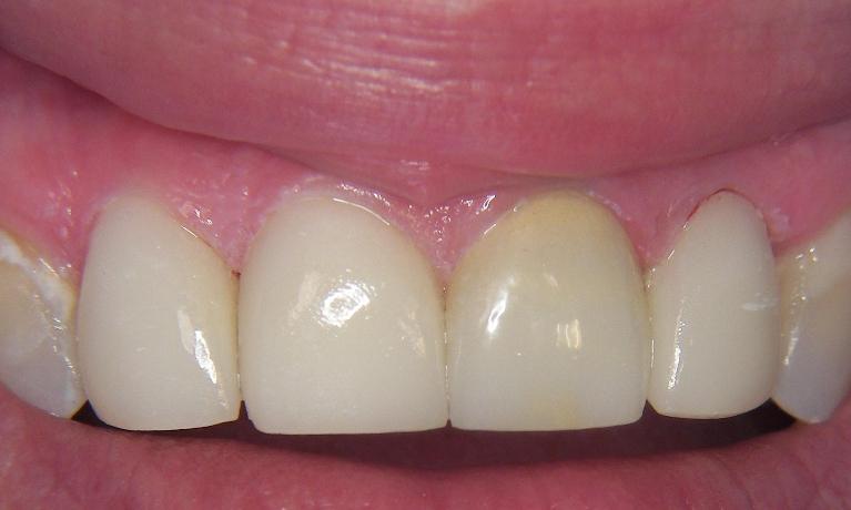
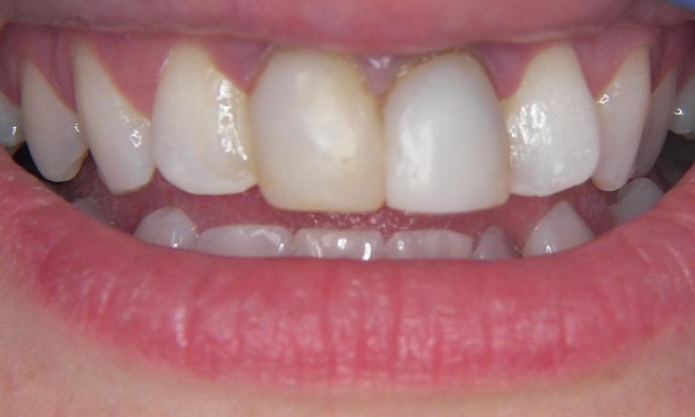
Sometimes a tooth can be so badly cracked, broken, or discolored that it becomes necessary to cover the entire tooth. This can serve to not only protect and restore the tooth, but also improve its appearance. This cover is called a crown. A crown is a dental restoration that Drs. John and Tina Garza will design and have custom made to fit your tooth and to match the shape and color of the other teeth around it so no one has to know it’s not your natural tooth. 

At Northpointe Family Dentistry, we can provide a custom-made dental crown made from a variety of different materials to suit your needs ranging from metal to porcelain to a combination of the two. Visit us at our office in Cypress, TX so we can take pictures of your teeth and review them with you to figure out if a crown is what you need for your tooth.

Fixed Dental Bridges

Are you missing a tooth? One great option for those seeking a replacement tooth that permanently stays in the mouth is a bridge. A bridge is a dental restoration that can replace one or more missing teeth by anchoring to your existing teeth. It can improve the appearance and strength of multiple teeth all at once, provide you with a great looking alternative to missing teeth, and even help you chew better. Drs. John and Tina Garza can meet with you to see if you are a candidate for a bridge or if you would benefit more from other options, like partial dentures or dental implants.

Caring For Your Dental Crowns and Bridges

To insure your crowns and bridges continue to look their best and last a long time be sure to visit your dentist every six months for a thorough exam, cleaning and x-rays. This way we can make sure there are no new cavities around your crowns and that there are no broken or chipped areas that can allow food to get stuck and decay to form. 

Besides your teeth, we will also check to make sure your gums and the bones around your teeth are staying healthy as they can also have an impact on your crowns and bridges. We will also evaluate your chewing and teeth grinding habits and may recommend having a custom night guard made to protect your teeth and crowns from grinding habits which can break or chip your teeth or crowns. 

Your at-home routine should also include brushing and flossing daily to remove any plaque that forms around your crowns. Flossing can be more challenging around bridges. Some alternatives to traditional floss include using a Waterpik or floss threader around your bridges. Please ask about these devices at your next cleaning and we would be happy to go over them with you.

Contact Us Today

Call Northpointe Family Dentistry in Cypress, TX to schedule an exam to help you achieve a healthy, great looking smile! We look forward to meeting you!

Meet Our Doctors:

Stephanie Seymour RDH
Dental Hygienist

Dr. Tina Minh Garza DDS
General Dentist

Dr. Tina Minh Garza has lived in the Spring/Cypress area since 1998. After graduating from Texas A&M (WHOOP!) she returned to Houston to complete her dental training at the University of ...

Featured Blog Posts - Dental Crowns and Bridges

August 15, 2023

Dr. Tina Garza Shares Her Knowledge on Dental Materials

magazine article

Dr. Tina Garza was recently featured in a peer-reviewed dental magazine discussing her background in dentistry and her knowledge of dental materials. With over 12 years of hands-on experience in private practice dentistry, Dr. Garza has refined her techniques and material selection to deliver strong and beautiful dental results for her patients at Northpointe Family Dentistry.

Getting an appointment is fast and easy!
Get Started!