Skip to main content
Fillings
A healthy, beautiful smile starts here

Fillings | Dentist
Improve your smile today – call to schedule a consultation!
Claim Now!

Fillings

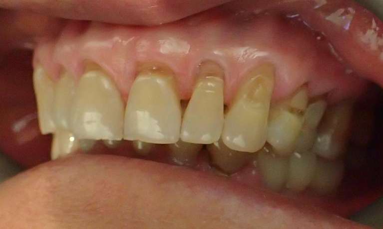
What Are Fillings?

A filling is simply some form of material that is used to fill in a hole in the teeth. The hole may already be there when you come to the dentist due to a cavity or fracture, or it may be a hole that is made intentionally when the dentist cleans out the cavities in your tooth. Cavities are areas of your teeth that are infected with bacteria. The bacteria is eating away at your tooth structure which makes areas of your tooth turn brown or black, makes the tooth soft and sticky, and it can cause you to feel sensitivity to cold or sweets, or when you try to bite down.

Options for Fillings

At Northpointe Family Dentistry we have a variety of different materials in stock that we can use for your filling to make sure the color matches your tooth and so that your tooth looks and feels as normal and natural as possible so you can go back to eating comfortably.

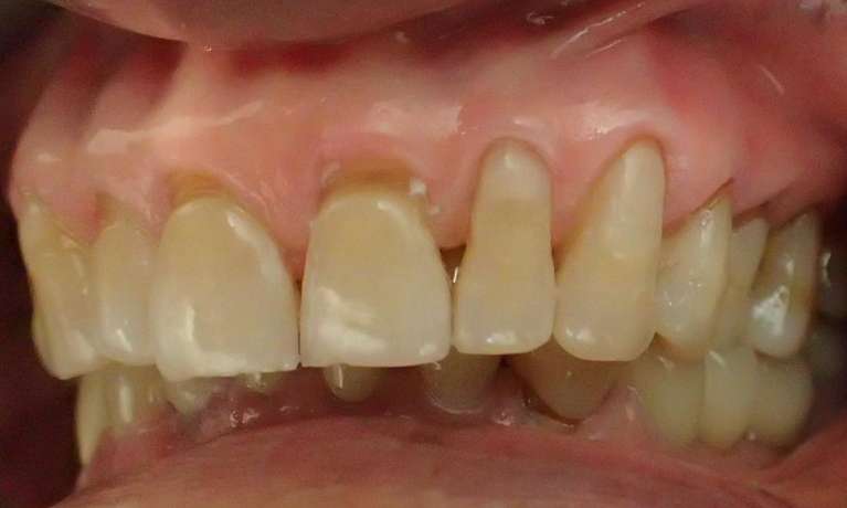
Filling Procedure

Dr. Garza will first remove all of the unhealthy parts of your teeth. Then a bonding agent (you can think of it like glue) will be applied on the tooth and then the filling material will be placed into the spaces in your tooth where the cavities once were. The doctor will smooth out the material to match the rest of your tooth. Then the doctor will shine a handheld blue light that makes the filling material hard to match your tooth. Finally the tooth will be checked to see if there are any high spots when you bite down and those areas will be smoothed until you feel your bite is back to normal. That's it! You will be able to go back to eating and drinking normally.

Why Are Fillings Important?

If your tooth has a cavity and your dentist recommends a filling, you may be tempted to put it off until the tooth starts bothering you. If you wait, however, the cavity will have time to get bigger and bacteria will have time to destroy more of your tooth. If the bacteria makes its way to the nerves in the center of your tooth then a filling alone will not be enough to take you out of pain and to fix your tooth. You may need a root canal. A root canal is a much longer and more expensive procedure and can best be avoided by getting your cavities removed and your fillings completed as soon as possible.

Contact Us to Schedule Your Next Dental Appointment

If you have been to our Cypress, TX office before we will have records of what fillings the dentist has planned for you and will help to set up your appointment to get started on one or more of your fillings, depending on what you feel comfortable with. If you haven't been to our office and want to make sure your teeth are healthy we can set up a visit to do a check up. Call our office today!

Meet Our Doctor:

Dr. Tina Minh Garza DDS
General Dentist

Dr. Tina Minh Garza has lived in the Spring/Cypress area since 1998. After graduating from Texas A&M (WHOOP!) she returned to Houston to complete her dental training at the University of Texas School of Dentistry. While in dental school, she met her future husband, Dr. John Garza! Dr. Tina has a passion for building strong relationships with her family, colleagues, and patients. 

Outside of the office, Dr. Tina keeps busy chasing after her two young boys and two young puppies. Any free time ...

Getting an appointment is fast and easy!
Get Started!