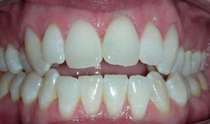
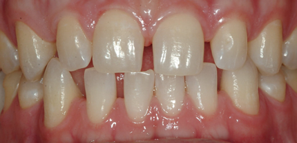
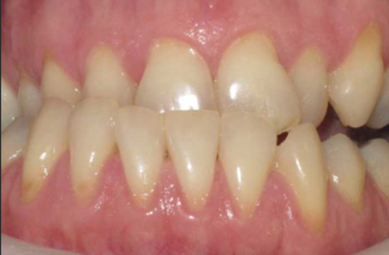
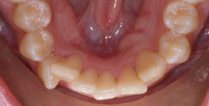
When to see an orthodontist
The American Association of Orthodontists recommends children as young as 7 to have an evaluation with an orthodontist. There is no age limit on orthodontic treatment, so adults who have concerns about the position or appearance of their teeth should also have a consult. Here are some photos of common issues that may require orthodontics.



