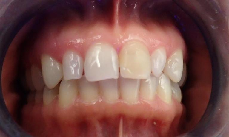
No-Prep Veneers
If you have small teeth or spacing between your teeth and you are not interested in undergoing orthodontic alignment, then veneers may be an option for you. Or if your teeth are stained and you have tried whitening before but it doesn't help, veneers will help you achieve the whiteness up to the level you are interested in and will not get darker over time the way your natural teeth do. No more bleaching! Veneers are attached to the front surface of your teeth to give you the ideal teeth shape and color that you desire. With no-prep veneers there will be none to very minimal preparation of your natural teeth. Compared to traditional crowns, no-prep veneers will be less likely to cause sensitivity since there is less grinding of your health teeth. Also if you are ever unhappy with your veneers they can be removed and your teeth will be the same as before the veneers were placed.
