Skip to main content
Northpointe Family Dentistry
Dr. John Joseph Garza, DDS and Dr. Tina Minh Garza, DDS
Request an Appointment
Like us on Facebook
Visit us on Yelp
Leave a Google Review
(832) 559-7311
14034 Grant Road, Suite #140
14034 Grant Road, Suite 140
Cypress, TX 77429
Northpointe Family Dentistry
(832) 559-7311
North Meadow Dental & Orthodontics
(281) 766-3060
Northpointe Family Dentistry Directions
North Meadow Dental & Orthodontics Directions
Home
About
Our Team
Northpointe Family Dentistry
North Meadow Dental & Orthodontics
Office Pictures
Services
View All
Dental Crowns and Bridges
Preventive Dentistry and Periodontal Treatment
Fillings
Child's Visit
Teeth Whitening
Dental Implants
Root Canal Therapy
Dental Emergencies
No-Prep Veneers
Orthodontics
View All
Why Northpointe
When to see an orthodontist
Invisalign
Current Patients
Braces
Smile Gallery
Testimonials
Patient Info
View Patient Info
Forms
Financial
FAQs
Blog
Promotions
Contact
View All
Northpointe Family Dentistry
North Meadow Dental & Orthodontics
Northpointe Family Dentistry
>
Smile Gallery
>
Invisalign
Invisalign
Return to Smile Gallery
Previous
Next
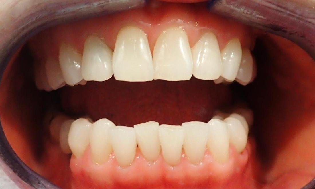
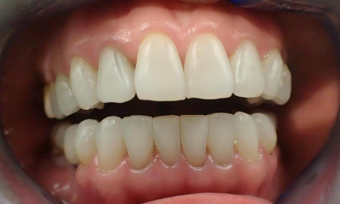
Pt was unhappy with crowding on lower teeth. Pt wore clear aligners for one year.
Related Services:
Orthodontics
Performed at:
Northpointe Family Dentistry
Before
After
Getting an appointment is
fast
and
easy
!
Get Started!
OK!
×
×
Contact Us Today
Give Us A Call
Northpointe Family Dentistry -
(832) 559-7311
North Meadow Dental & Orthodontics -
(281) 766-3060
Send Us an Email
Which location?
Northpointe Family Dentistry
North Meadow Dental & Orthodontics
Request an Appointment
Contact Us
Ready to Schedule an Appointment?
Book Now
Have Questions? Contact Us:
Full Name
* (Req)
Phone
Email
* (Req)
Are you a?
New Patient
Current Patient
How would you like us to contact you?
Please choose
Email
Call
How did you hear about us?
Please choose
I'm an existing patient
Google/Bing
Mailer
Word of mouth
Social media
Other
Who Referred You?:
Appointment Preferences
Monday
Tuesday
Wednesday
Thursday
Friday
Additional Comments
This site is protected by reCAPTCHA and the Google
Privacy Policy
and
Terms of Service
apply.
Required Field
Sending...
×
This Patient's Experience
Loading Testimonial...
Loading Case...